Înlocuire lucrări vechi cu fațete și coroane integral-ceramice
Protetică și estetică dentară
Uneori, în viaţă, ne lovim de tot felul de greutăţi şi considerăm că unele lucruri au prioritate în faţa sănătăţii noastre.
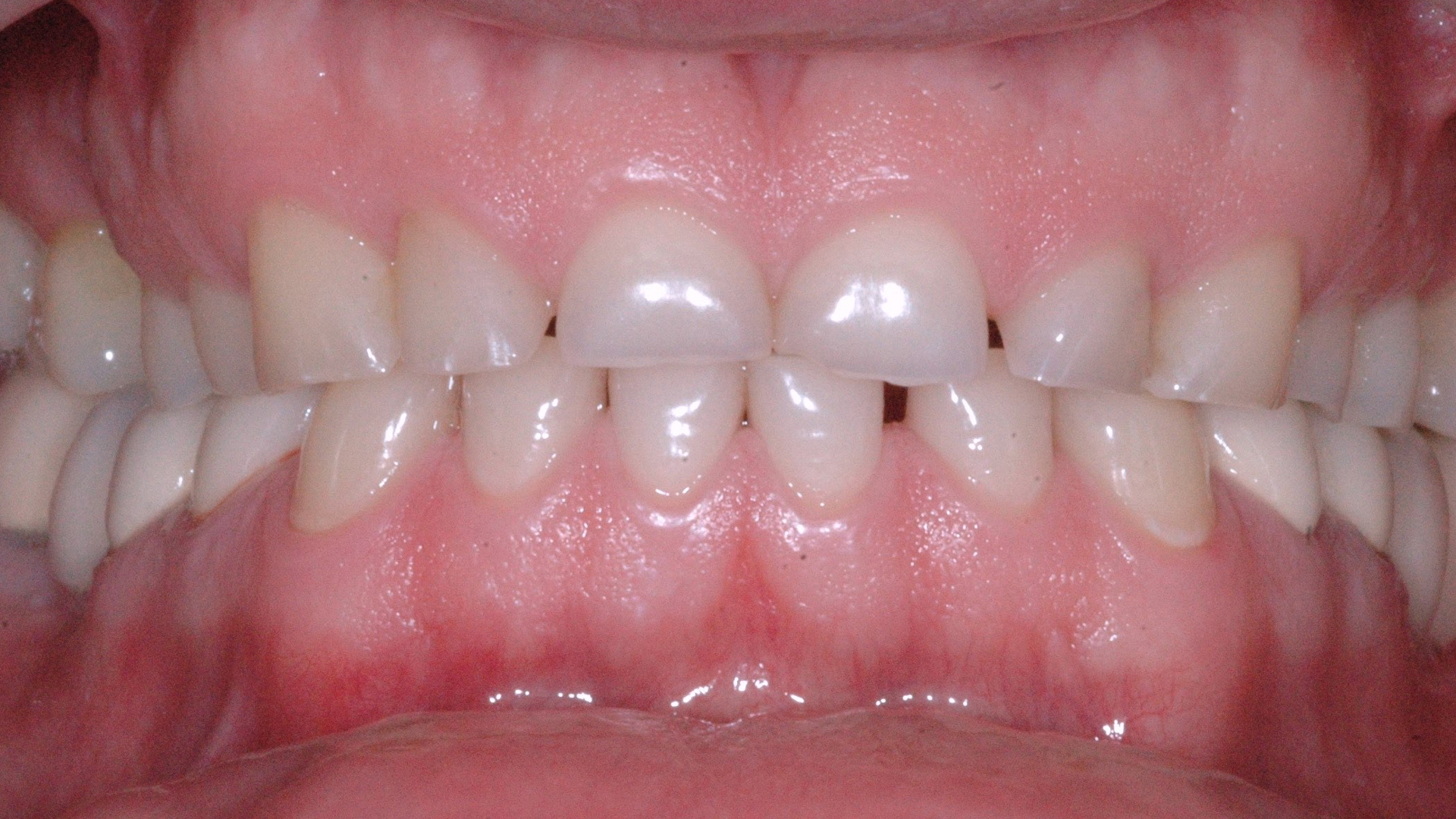
Acesta a fost şi cazul domnului Pârvu. Fiind nevoit să se mute în străinătate, să înceapă o viaţă nouă şi având multe greutăţi, acesta şi-a neglijat nu doar sănătatea dinţilor, ci și sănătatea în general. Acest lucru a dus la o gastrită urâtă, asociată cu reflux gastric (acidul ajunge din stomac în cavitatea bucală şi atacă dinţii). Pe lângă aceasta, stresul şi-a făcut simţită prezenţa prin bruxism pe timp de noapte (încleştarea inconştientă a maxilarului şi scrâşnirea dinţilor).
Aceste aspecte, asociate cu un stil de viaţă dezordonat, cu fumatul şi băutul de cafea, a dus la o stare foarte proastă a sănătăţii dinţilor.
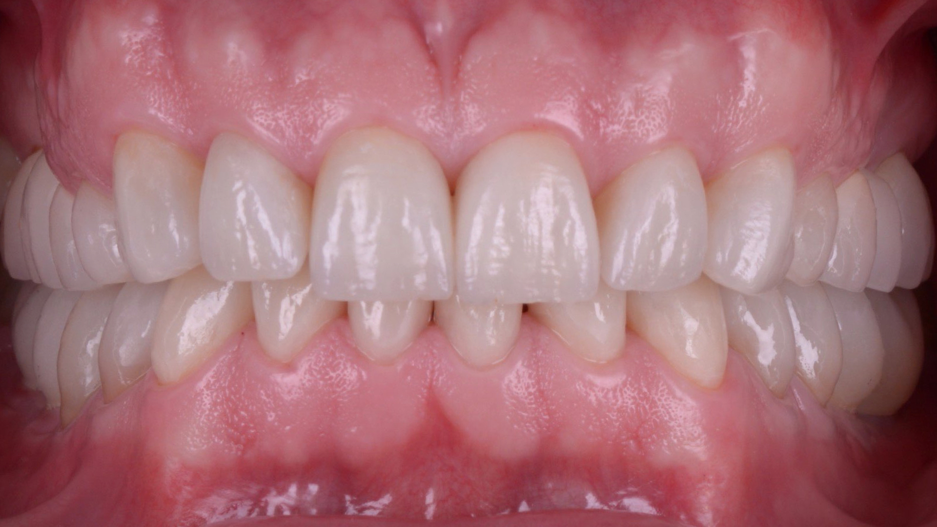
Tratamentul a presupus tratarea cariilor, tratamente de canal pe dinţii cu lucrări mai vechi, dar şi pe unii dinţi la care cariile erau prea extinse. După această curăţare, s-au pus coroane şi faţete integral-ceramice astfel încât să se rezolve problemele de muşcătură, care apăruseră din cauza asimetriilor cauzate de uzura dinţilor, dar şi pentru a reface estetic zâmbetul pacientului.
