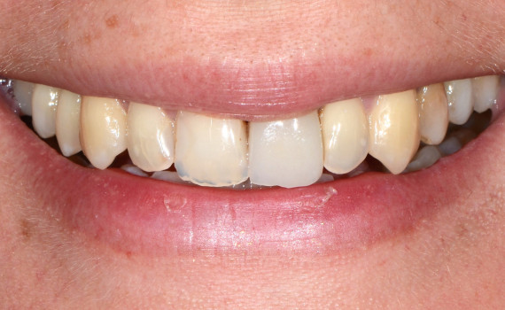
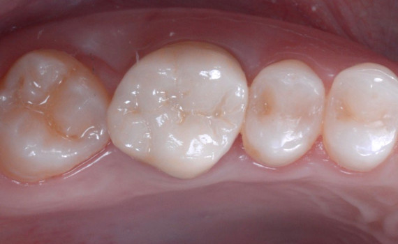
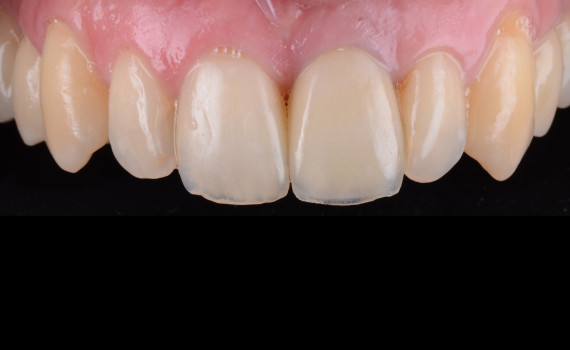
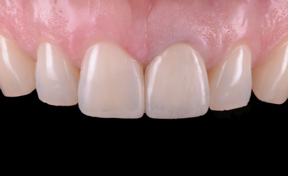
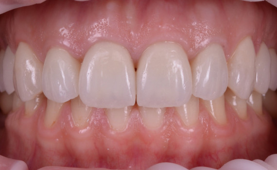
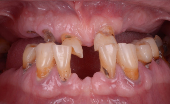
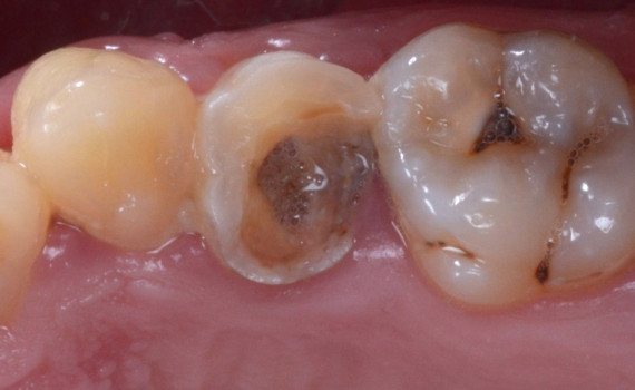
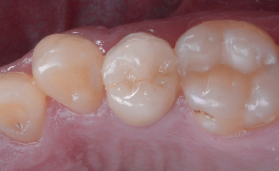
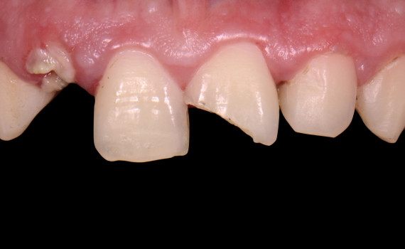
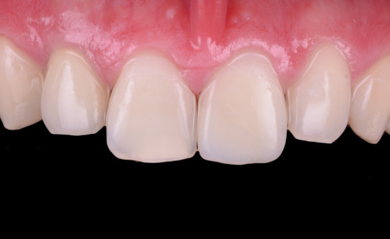
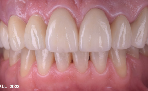
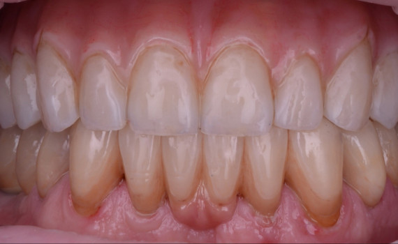
Cazuri clinice pacienti stomatologie Timisoara, dentist Mosnita Noua: aparat dentar, implant dentar Timisoara, fatete dentare, coroane dentare, igienizare dentara
Folosim cookie-uri pe site-ul nostru web.
Unele dintre ele sunt necesare pentru funcționarea site-ului, dar puteți decide asupra altora.
