Inlocuire plombe și fațetă dentara frontala
Odontoterapie
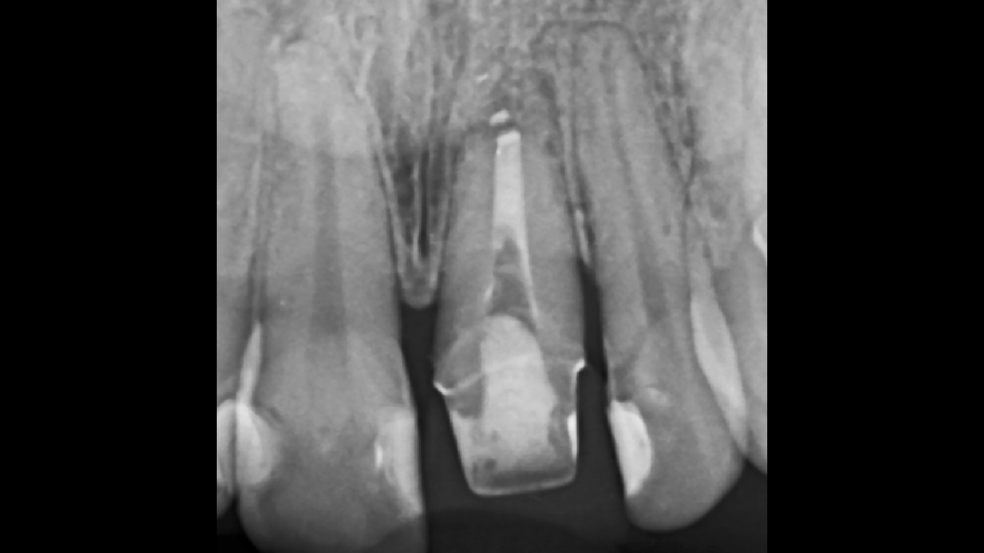
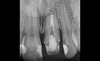
Mihaela a ajuns la noi cu plombe foarte vechi, uzate și cu discolorații, dar și cu o fațetă pe unul din dinții frontali, care nu arăta deloc bine. Echipa noastră i-a refăcut plombele vechi și fațeta.
Rezultatul final ne arată cât de importată e atenția la detalii și cât de mult poate să ne schimbe un singur dinte care nu este în armonie cu restul.
