Restaurare pe coroane dentare integral ceramice
Protetică și estetică dentară
E timpul pentru o dantura sanatoasa si radianta!
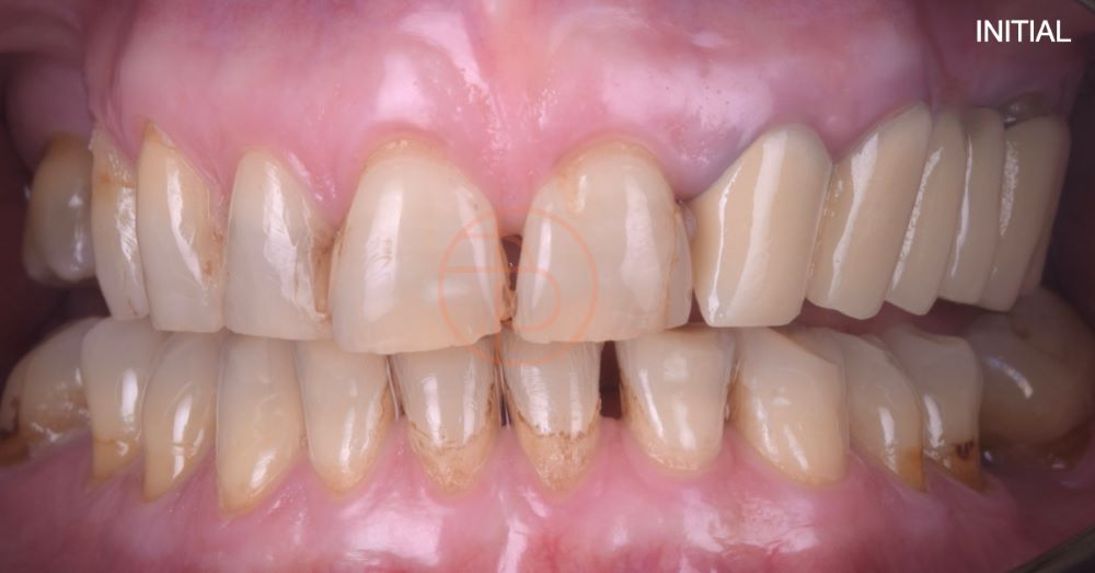
Coroanele dentare vechi și plombele extinse pot irita gingiile, provocând inflamații gingivale. Aceste inflamații pot duce către sângerare gingivală în timpul periajului dentar, un precursor al bolii parodontale și, în cazuri severe, chiar pot contribui la pierderea dinților.
În prima fază, igienizarea dentară profesională și intervenția timpurie în tratamentul parodontozei, au eliminat cu succes posibilele riscuri. În acest caz specific, utilizarea coroanelor dentare integral ceramice a jucat un rol esențial nu doar în restabilirea unei ocluzii corecte (mușcăturii), ci și în redarea esteticii. Modul în care dinții se ating este crucial pentru menținerea sănătății dentare și asigurarea longevității coroanelor dentare.
Această abordare depășește simpla înlocuire. Implică o strategie cuprinzătoare pentru a proteja sănătatea gingiilor și a conserva integritatea structurii dentare.
Angajamentul pentru excelență în stomatologie se regaseste în fiecare detaliu și în fiecare intervenție.
