Înlocuire coroană metalo-ceramică veche
Protetică și estetică dentară
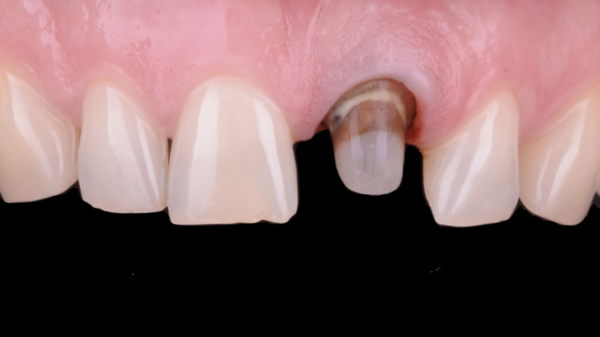
Domnul Mihăila a venit la noi având ca principală plângere o coroană metalo-ceramică veche pe incisivul central de pe partea stângă. Pe lângă efectul inestetic al unei coroane de acest fel în zona frontală, aceasta mai era și asociată cu un spațiu între cei doi dinți centrali şi o lungime insuficientă a incisivului central de pe partea dreaptă, lucruri deranjante pentru acest pacient.
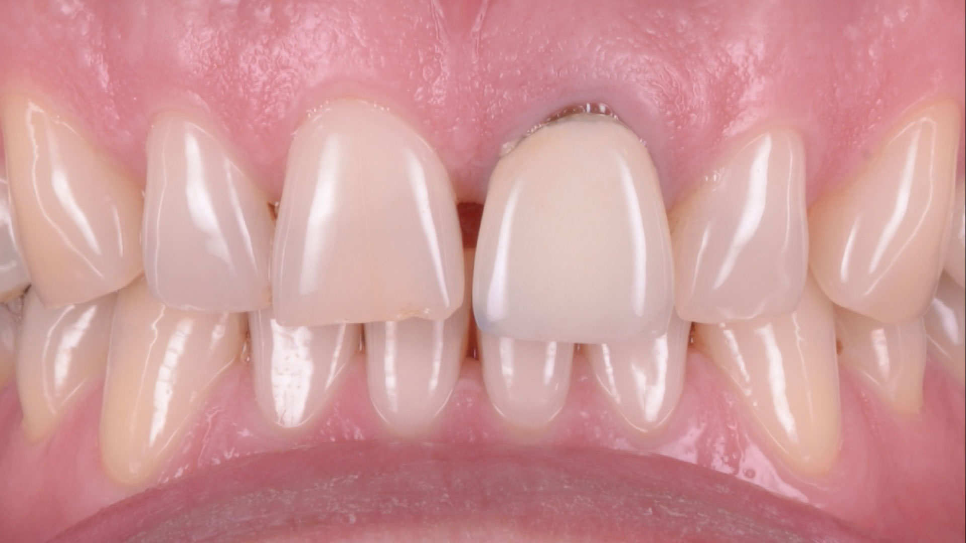
Cand medicul a scos coroana, a putut observa că dintele care fusese șlefuit pentru lucrarea veche și pe care fusese fixată lucrarea își modificase culoarea, semnalizând probleme în tratarea anterioară a acestuia. Acest aspect a avut ca rezultat un retratament de canal, realizat sub microscop, pentru ca mai apoi dintele să primească o coroană integral-ceramică. Coroanele integral-ceramice fac față cerințelor estetice și funcționale ridicate, de aceea sunt recomandate în majoritatea cazurilor.
Vezi AICI mai multe informatii despre coroanele dentare.
Pentru finalizarea tratamentului și obținerea unui efect estetic, dar și funcțional maxim, s-a realizat o reconstituire cu compozit la nivelul incisivului central de pe partea dreaptă pentru închiderea spațiului inestetic şi alungirea marginii incizale, pentru o mușcătură corectă cu respectivul dinte.
