Reabilitare protetica si estetica pe implanturi dentare
ImplantologieProtetică și estetică dentară
Scurt rezumat DIAGNOSTIC:
Restaurări protetice neadaptate, percolate, tratamente endodontice infiltrate, leziuni carioase multiple; Relatii intermaxilare incorecte, lipsa ghidajului anterior și lateral fiind prezente interferente active în mișcarea de lateralitate și contacte premature la finalul mișcării de propulsie. Deficit de spatiu la arcada inferioară;
UPDATE: cazul a castigat Locul I la Romanian Dental Awards.
Rezumatul cazului. Reabilitarile complexe nu ar putea fi realizate fără o planificare riguroasa și o echipa medicala care sa ofere un tratament interdisciplinar. Pasul principal a fost reprezentat de etapa de achiziție a datelor pentru ca echipa medicala sa decidă etapele de tratament astfel încât sa se atingă doleanțele pacientului.
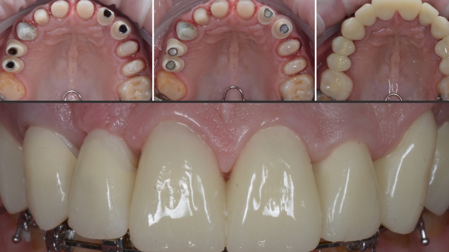
Dupa etapa de asanare în care au fost îndepărtate procesele carioase, restaurările protetice incorect adaptate, refacerea tratamentelor endodontice infiltrate - s-a trecut în etapa de stabilizare protetica. Ulterior pacientului aplicandu-i-se aparat ortodontic la nivelul mandibulei. S-au extras premolarii inferiori primi datorită deficitului de spațiu, iar la nivel maxilar s-au inserat implanturi dentare la nivelul lui 1.3, 1.2, 2.4, 2.5 și s-a așteptat 6 luni pentru osteointegrare.
A urmat etapa de descoperire a implanturilor. S-a amprentat digital pentru stalpi protetici hibrizi și restaurări protetice provizorii cad-cam din compozit, implanturile dentare trecând printr-o încărcare graduala. După maturarea țesuturilor s-a trecut în etapa finala unde pacientului i s-au restaurat dinții de la nivel maxilar cu restaurari protetice fixe, iar la nivelul arcadei inferioare s-au refăcut muchiile incizale și cuspizii caninilor din compozit cu scopul de a reda funcția în mișcările dinamice.
PLAN DE TRATAMENT: igienizare, achiziție de date, asanare, stabilizare protetica, tratament ortodontic, chirurgie orala (augmentare și inserare implanturi), restaurări protetice fixe.
PROTOCOL DE LUCRU: achiziție de date ce consta în: poze intra/extraorale pentru analiza estetica și funcțională, evaluare odontala și parodontala, amprente și înregistrări intermaxilare și arc facial, planificarea etapei ortodontice, chirurgicale și protetice. Inserarea implanturilor s-a realizat cu ajutorul ghidurilor chirurgicale realizate după design-ul final al restaurarilor protetice. Amprentare într-un singur timp cu materiale de consistentă diferită. Fixare - sub izolare cu diga. Protocolul adeziv fiind corelat cu tipul de restaurare protetica finala.
Dispensarizarea pacientului la 2 săptămâni, 1 luna, 6 luni, 9 luni, 1 an, 2 ani, 2.5 ani.
In stomatologia de inalta performanta, este nevoie de o echipa de medici stomatologi profesionisti, pentru ca rezultatele reconstructiei orale si ale tratamentelor sa aiba succes pe termen lung. Acest caz, se afla in finala Ectopic Society 2023 - Reabilitare orala interdisciplinara.
