Înlocuire proteză totală
Protetică și estetică dentară
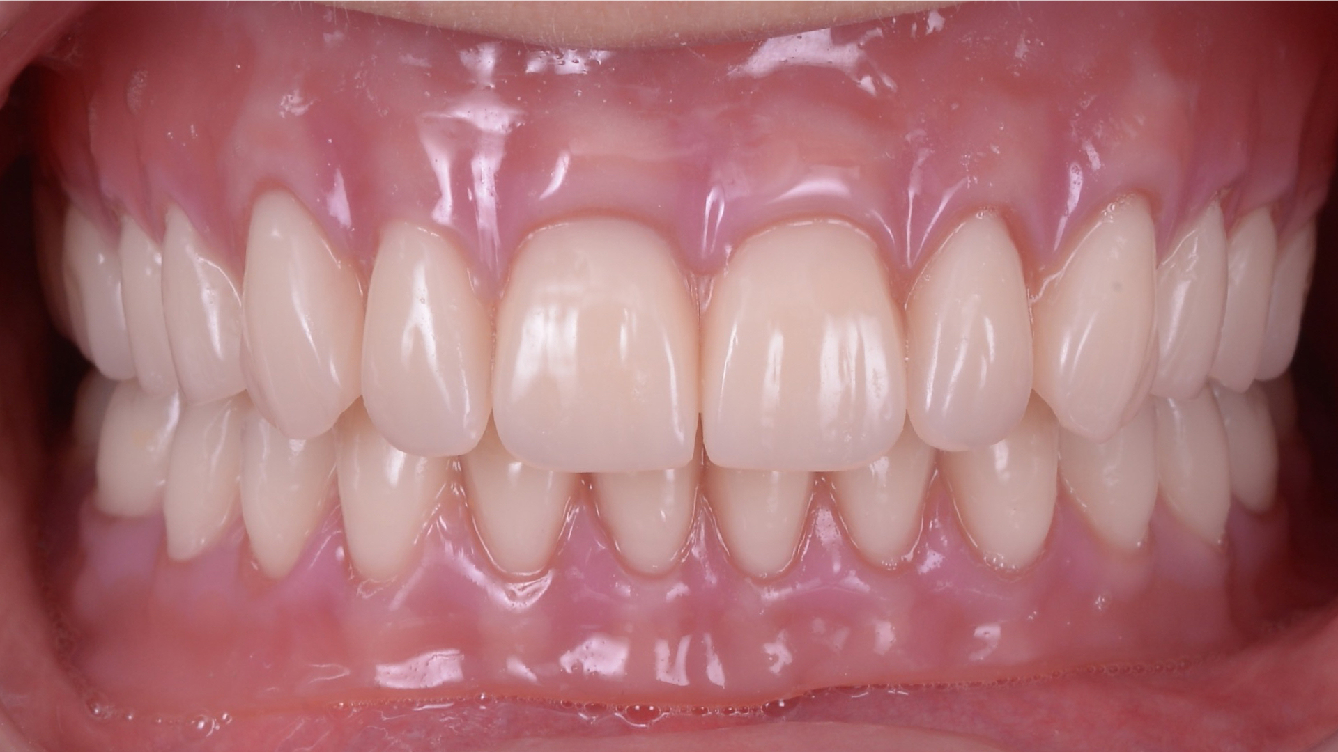
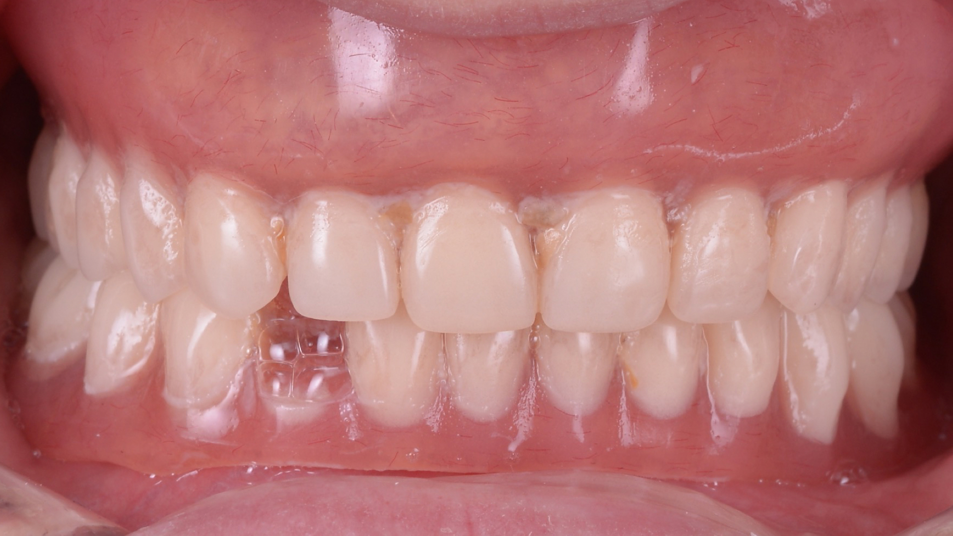
Pentru pacienţii care nu mai prezintă dinți pe arcadă sau urmează să-i piardă, există diverse soluţii de restaurare. Una dintre ele este soluţia clasică, de proteze mobile pe ambele maxilare. Doamna Angela avea o proteză foarte veche, care suferise şi câteva accidente şi nu o mai ajuta nici din punct de vedere estetic, nici funcţional.
Odată cu cerințele estetice ridicate ale zilelor noastre tehnologia dentară a fost nevoită să evolueze astfel încât astăzi putem să facem proteze care arată cât mai natural. S-au facut astfel două proteze cu gingie individualizată şi cu dinţi individualizaţi. Genul acesta de proteze imită foarte bine gingia şi dinţii naturali, făcând chiar purtătorul să uite că este vorba de dinţi falşi.
Protezele dentare pe implanturi sunt alternativa la proteza clasică.
Proteza dentara telescopata.
Proteza dentara cu capse (bile).
Proteza dentara fixa pe implanturi all-on-4 sau all-on-6
Întreabă medicul despre protezele dentare.
Vezi aici mai multe informatii despre protezele totale sau partiale. Proteze fixe pe implanturi sau proteze mobile de ultima generatie.
Proteze totale
Pacienții noștri se bucură de cele mai calitative tratamente.
Vei avea alături de tine echipa de specialiști în Implantologie Dentară Avansată și Reabilitări Orale Complexe ai Clinicii Dentare Dr. Baldea.
