Inserare implant în zonă estetică
Implantologie
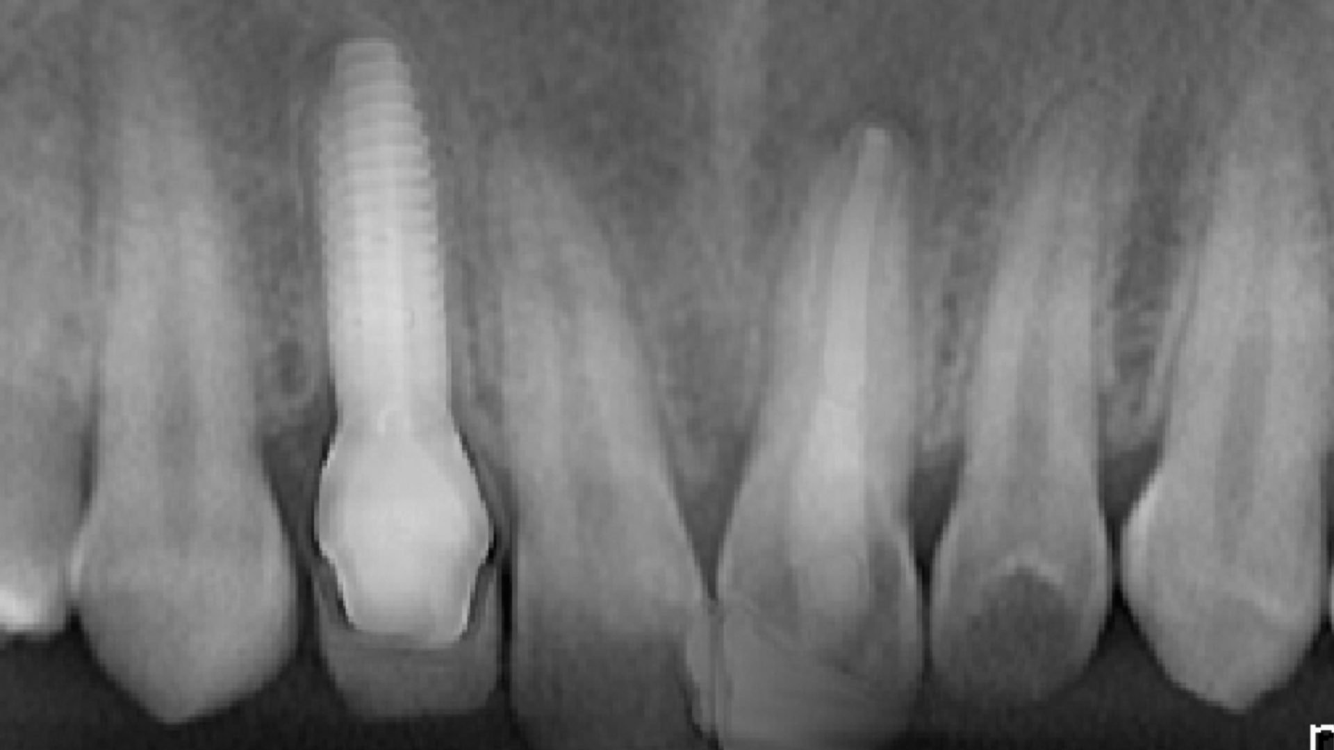
Marian a suferit un accident cu bicicleta. Din păcate, acesta a fost foarte grav şi a dus la un traumatism al dinţilor frontali. Dintre aceştia, unul nu a mai putut fi salvat şi de aceea a fost nevoie de inserarea unui implant dentar. Restul dinţilor au avut nevoie de tratamente pe canal şi refacere a formei anatomice. În locul dintelui unde s-a inserat implantul s-a pus la final o coroană integral-ceramică pe un stâlp hibrid din zirconiu, iar restul dinţilor afectaţi au putut fi reconstituiţi din compozit, ajutându-l să revină la o viaţă normală. Tratamentul acesta a fost ales ca fiind varianta optima şi minim-invazivă pentru acest pacient în vârstă de 18 ani. Nu ştim dacă pasiunea pentru ciclism i-a revenit, dar în mod cert, i-am resuscitat zâmbetul.
