Fațete integral-ceramice fără șlefuirea dinților
Protetică și estetică dentară
Giacomo a fost printre cele mai interesante cazuri de restaurare protetică pe toți dinții realizate de dr. Bogdan Bâldea și echipa sa acum 5 ani. Acesta a avut norocul de a-l întâlni pe dr. Bâldea în timpul studiilor sale la Facultatea de Stomatologie din Timișoara, iar cazul lui l-a intrigat şi provocat pe domnul doctor să încerce să îl ajute.
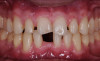
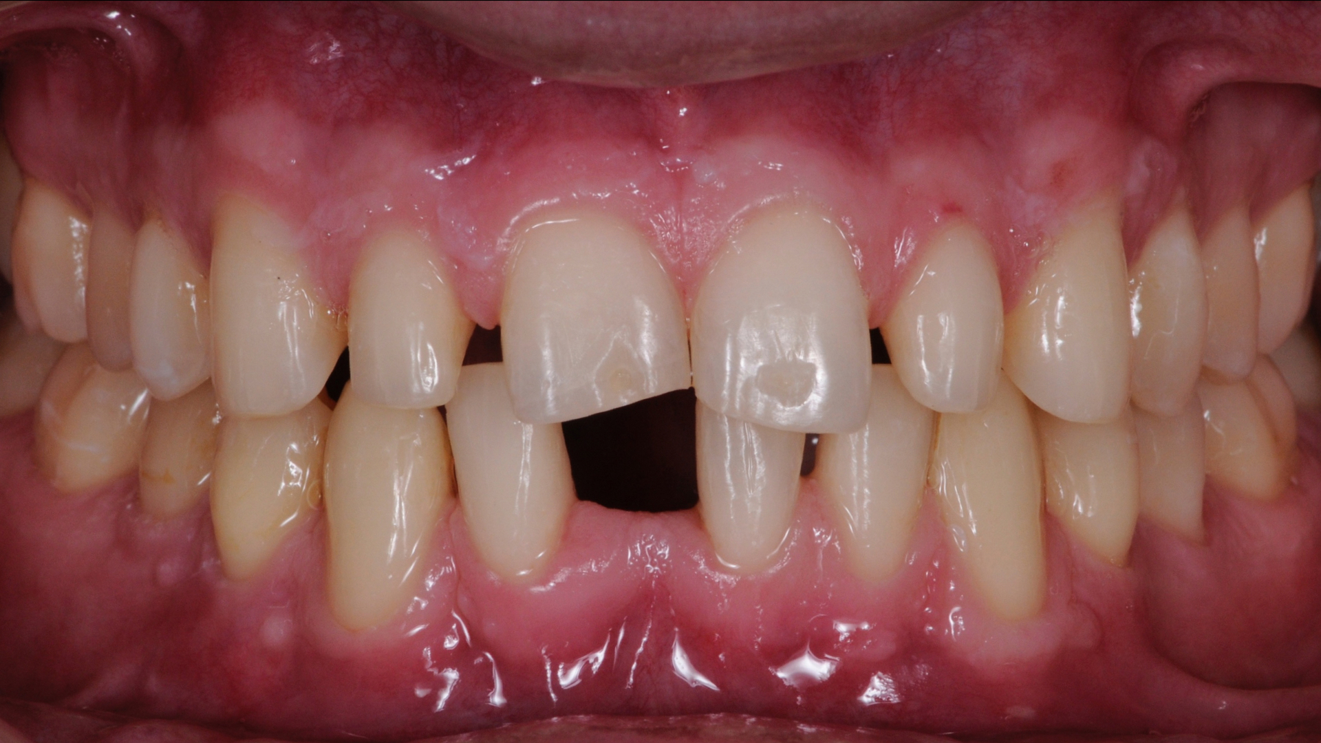
Zâmbetul său, aşa cum se poate vedea în fotografii, nu îndeplinea toate cerințele pe care el le avea punct de vedere estetic, dar nici funcţional (adică modul în care dinţii muşcă şi conlucrează) situaţia nu era foarte ideală. Această situaţie a fost rezultatul unei loterii genetice, dar şi a unui tratament ortodontic nereușit.
În situaţia de faţă, condiţiile au fost foarte bune pentru un tratament complet, minim-invaziv. S-au putut pune faţete dentare fără a șlefui dinții. Acest fapt s-a datorat în mare dimensiunilor dinţilor, dar şi spaţiilor existente între aceştia.
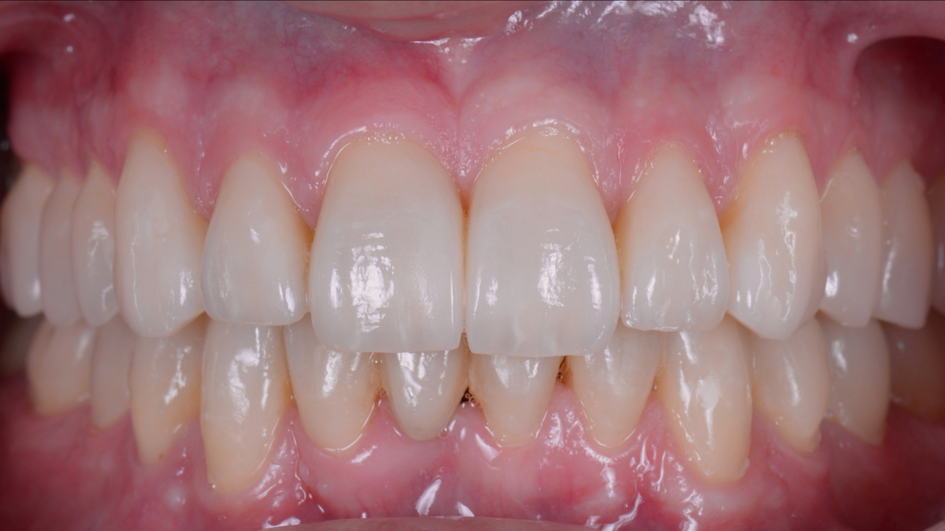
Putem spune că zâmbetul final este uluitor, iar acest fapt a dus la o creştere a încrederii în sine, dar şi a admiraţiei faţă de dr. Bâldea, care a ajuns să fie mentorul lui Giacomo, la vremea respectivă student la stomatologie, iar în prezent membru al echipei de specialişti ai clinicii noastre.
