Ortodontie cu aparate dentare Timisoara - Dr Baldea Dental Clinic
Pentru un zâmbet armonios și dinţi aliniaţi, ești pe mâini bune.
Ai alături de tine echipa de medici specialişti în Reabilitări Orale Complexe și Implantologie Avansată ai Clinicii Dentare Dr. Bâldea Timisoara.
In urma analizelor, medicul ortodont specialist va recomanda cel mai potrivit aparat dentar si tratamentul ortodontic, pentru copii și adulți.
Ortodontie. Tratamentul ortodontic si aparatul dentar potrivit pentru tine.

Ortodonția
Specialitatea stomatologică care se ocupă cu diagnosticul, prevenirea și tratamentul problemelor dento-maxilare, facial-estetice, cele ale ocluziei şi cele ale articulaţiei temporo-mandibulare.
Clinica Dentara Dr. Bâldea oferă gama completă de tratamente ortodontice pentru copii și adulți. Indiferent de vârsta sau de problema dentară, echipa noastră de medici ortodonți vor recomanda cel mai bun plan de tratament pentru nevoile fiecărui pacient.
De asemenea, tratamentul ortodontic joacă un rol important în facilitarea unui tratament restaurativ minim invaziv şi contribuie la sănătatea parodonţiului pe termen lung.
Ortodonția, între funcțional și estetic.
Beneficiile principale ale ortodonției:
• Dinți drepți și aliniați
• Zâmbet frumos și armonios
• Îmbunătățirea masticației și a digestiei
• Vorbire clară și inteligibilă
• Creșterea încrederii
La baza unui tratament ortodontic corect se află un diagnostic ortodontic complex şi minuţios cu ajutorul căruia se face un plan de tratament individualizat fiecărui pacient în parte.
Tratamentul ortodontic este utilizat în general pentru a muta dinții în poziție favorabilă astfel încât tratamentele protetice să fie minim invazive (șlefuirea dinților să fie minimă sau chiar absentă în vederea realizării de fațete dentare, coroane, punți sau implanturi dentare).
Medicul ortodont recomandă un consult în următoarele cazuri:
Dinții înghesuiți sau aliniați greșit (dinți crescuți strâmb)
Ocluzie inversă sau ocluzie adâncă
Spații între dinți (diastema - strungăreață)
Ocluzie deschisă sau ocluzie încrucișată
Erupție anormală (canini crescuți în gingie - caninul inclus)
Protruzie (dinți ieșiți în afară)
Dureri faciale
Dificultăți la mestecat sau la mușcat
Diagnosticul ortodontic se face pe baza analizei:
- • foto-video (intra și extra-orale)
- • examenului radiologic (analiza teleradiografiei de profil)
- • modelelor digitale si analogice ale cavitații bucale montate în simulatorul aparatului dento-maxilar
- • set-upului ortodontic, care presupune modificarea poziției dinților pe modelul de ghips înainte ca tratamentul propriu-zis să se întâmple.

Toate investigatiile se realizeaza in clinica noastra stomatologica, dotata cu aparatura ultramoderna.
• Examen radiologic (computer tomograf/ ortopantomogramă, teleradiografie de profil, uneori poate fi necesar RMN articular).
• examen odontal;
• examinare parodontală;
• poze intraorale;
• poze extraorale;
• amprente ale arcadelor dentare;
• înregistrarea ocluziei (mușcaturii);
• înregistrarea poziției maxilarului față de baza craniului (cu arcul facial)
Un medic ortodont bun iti va spune doar dupa analiza tuturor investigatilor care este planul de tratament potrivit, costul si cat poate dura purtarea aparatului dentar.
În cursurile pe care le susținem atât în țară cât și în Timișoara, în estetica si protetica dentară de înaltă performanță, subliniem faptul că fiecare etapă trebuie respectată. Este modul de lucru pe care il predam și altor medici stomatologi.
Orice scurtătură a tratamentului, poate dăuna mai mult decat oferă beneficii.
Solutiile ortodontice si durata tratamentului.

Cu ce începe un tratament ortodontic?
Începe cu finalul. Cu dinții aliniați, cu sănătatea orală și zâmbetul deplin pe care știm ca îl putem realiza.
Tratamentul ortodontic constă din două etape distincte:
- faza activă, în care medicul ortodont activează aparatul ortodontic pentru a deplasa dinţii în poziţia dorită
- faza pasivă, în care rezultatul ortodontic este menţinut cu ajutorul unui aparat pasiv.
Etapă de colare a aparatului dentar durează două ore. Ședințele de activare a apartului dentar se vor face la fiecare 4-6 săptămâni.
Pe parcursul tratamentului uneori este necesară inserarea miniimplantelor pentru a se realiza mișcările dentare dorite, iar în unele cazuri, înaintea colării aparatului ortodontic, poate fi necesară expansiunea scheletală, dentară sau mișcări dentare antero-posterioare care se realizează cu ajutorul altor aparate cimentate pe dinți.
Cat timp dureaza indreptarea dintilor?
Durata şi tipul aparatului dentar folosit sunt individualizate în funcţie de situaţia, dorinţa şi vârsta pacientului. Tratamentul ortodontic poate dura între 6 luni și 2 ani.
Toate tipurile de aparate dentare disponibile.

Cum alegi cel mai bun aparat dentar.
Îți vom recomanda aparatul dentar care se pretează cel mai bine pentru cazul tău.
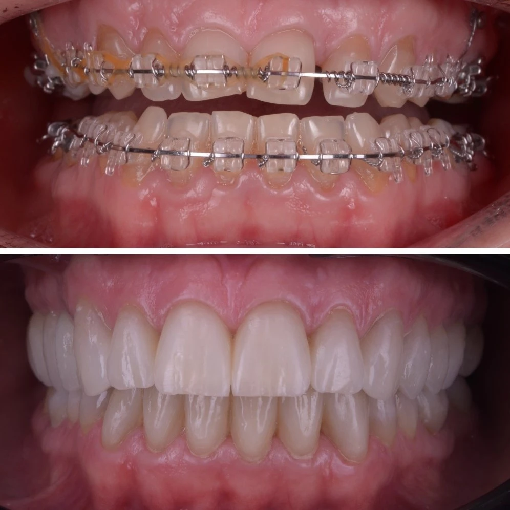
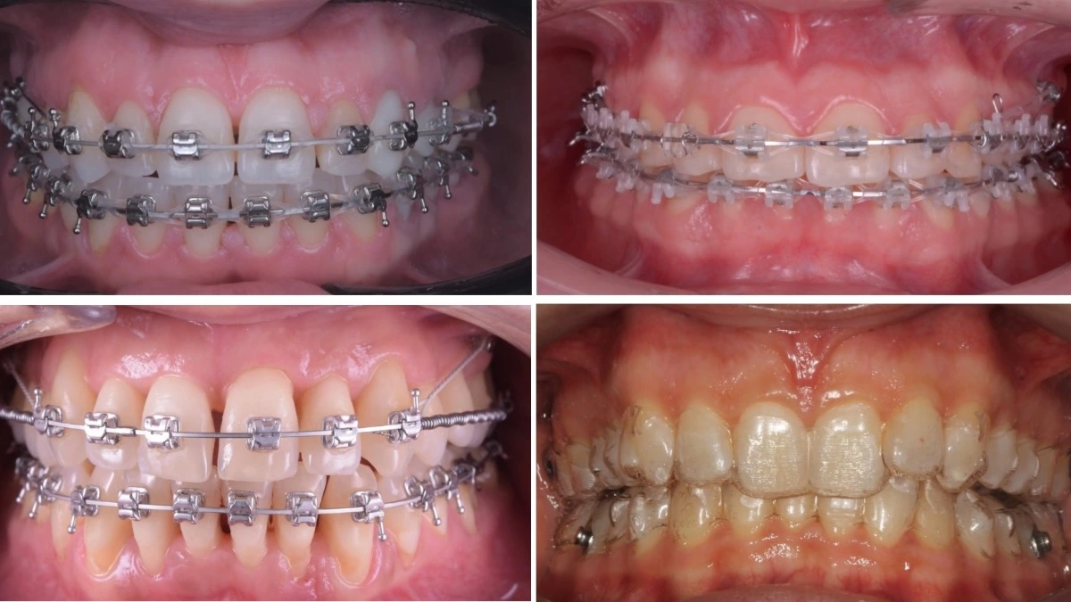
Aparatele dentare fixe din metal, ceramică sau rodiu asigură o mișcare precisă și controlată a dinților.
- aparat ortodontic fix metalic
- aparat ortodontic fix ceramic
- aparat ortodontic fix rodiu
Aparate dentare discrete, care mută treptat dinții în pozițiile lor ideale.
- aparat dentar invizibil (Spark)
- aparat dentar invizibil (Incognito)
Aparate dentare pentru probleme specifice pentru alinierea maxilarului sau mandibulei.
- aparat ortodontic segmentar
- aparat dentar bimaxilar
Pentru rezultate bune în ortodonție, după caz și nevoie, îți poate fi recomandată și gutiera de contenție sau gutiera de repoziționare.
Ce se întamplă în timpul tratamentului ortodontic?
• mișcarea dinților în interiorul (limita) oaselor maxilare prin mișcări controlate, lente folosindu-ne de un proces biologic de remodelare osoasă (resorbție în direcția de mișcare a dintelui și apoziție osoasă în direcția opusă );
• se folosesc forțe mici pentru a oferi timpul necesar remodelării osoase;
Tratamente ortodontice specializate si rezultate.
Tratamentele ortodontice înseamnă mai mult decat poziționarea unui aparat dentar.
În clinica noastră din Timisoara, medicul ortodont împreună cu echipa sa, realizează și cele mai complexe tratamente ortodontice.
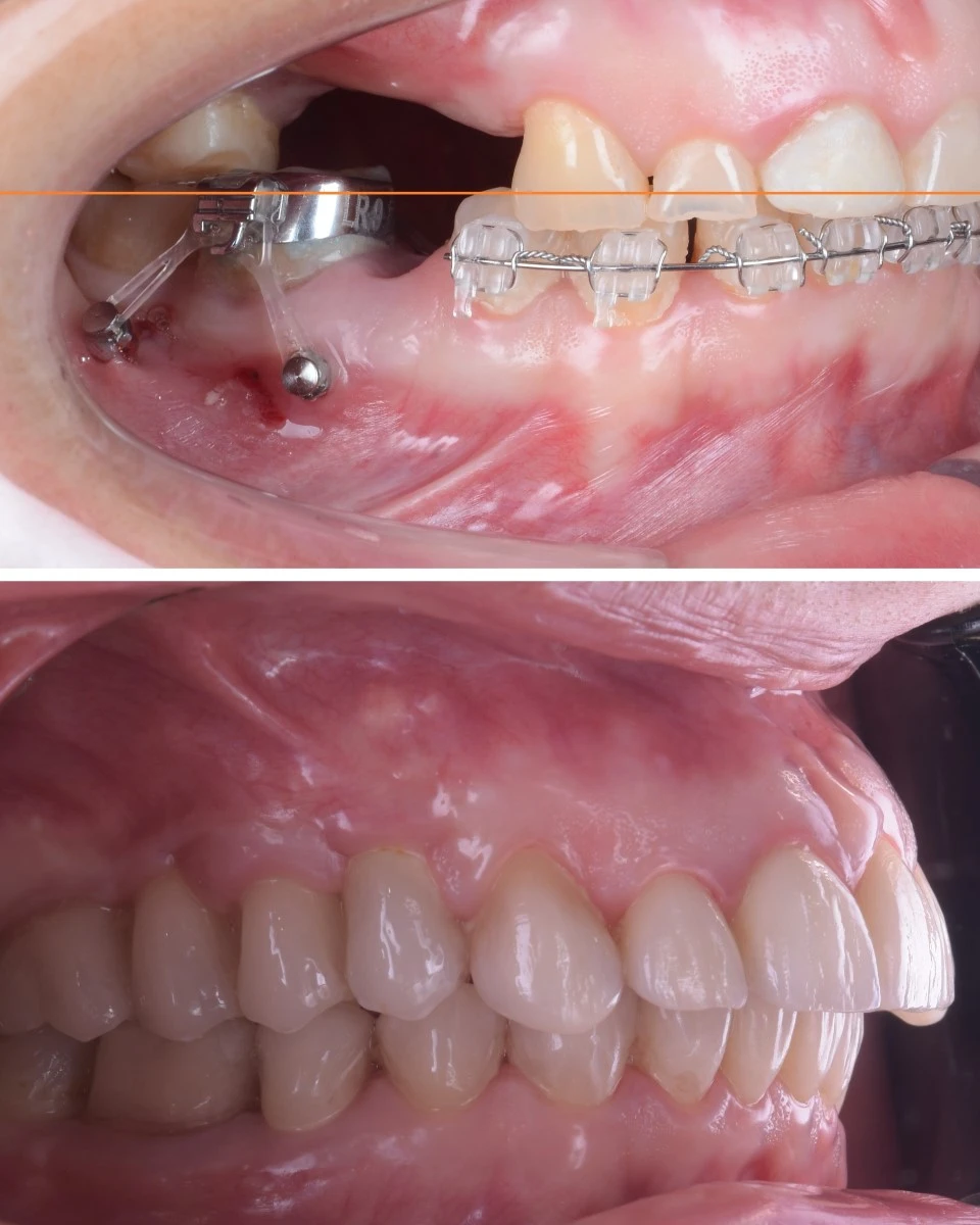
Expansiunea scheletală maxilară (lărgirea maxilarului)
Expansiunea maxilară poate fi recomandată atât în cazul înghesuirii dentare cât și în cazul ocluziei inverse.
Muscatura inversa (ocluzia inversa)
Muscatura inversa apare cand osul maxilar este mai puțin dezvoltat în sens orizontal decât osul mandibular. In acest caz nu se poate obține o mușcătură corectă doar cu aparatul dentar.
Este necesar un aparat dentar special pentru expansiunea scheletata. Creșterea lentă și controlată a diametrului orizontal al osului maxilar, urmată de o perioadă de remodelare osoasă.

Expansiunea scheletală maxilară, se realizeaza cu un aparat dentar pentru largirea maxilarului. In acest caz, s-a tratat si muscatura deschisa (ocluzia deschisa).
1 Caz clinic al unui pacient adult tratat ortodontic din cauza înghesuirilor dentare. Din cauza diferenței majore între lățimea osului maxilar și lățimea osului mandibular înaintea realizării tratamentului ortodontic propriu-zis s-a impus realizarea expansiunii scheletale cu ajutorul unui aparat dentar pentru largirea maxilarului;
2 Situația clinică imediat după obținerea expansiunii scheletale;
3 Finalul tratamentului ortodontic: alinierea dentară, circumscrierea dinților inferiori de către cei superiori și închiderea spațiului interdentar rezultat în urma expansiuniii scheletale.
Intruzia dentară ortodontică
Se utilizează pentru recâștigarea spațiului necesar unei coroane sau unei lucrări protetice (în urma extracțiilor, dinții de pe arcada opusă, migrează în sens vertical limitând astfel posibilitatea realizării unei lucrări protetice corecte)

Caz clinic tratat in cabinetul de ortodontie al clinicii noastre din Timisoara, cu molarul prim inferior egresat (migrat în sens vertical) din cauza absenței dintelui opus.
Forțele masticatorii nu sunt distribuite uniform la nivelul tuturor dinților, dintele egresat fiind supus unor forțe mari care, în timp, determină mobilitatea și pierderea acestuia de pe arcadă.
În urma intruziei ortodontice cei doi dinți vecini sunt poziționați la același nivel astfel încât forțele masticatorii să fie distribuite în mod egal. Reconstituirea protetică si estetica minim invazivă a dintelui migrat și a zonei superioare.
Extruzia dentară ortodontică
Recuperarea substratului dentar necesar protezării unor dinți compromiși pentru ca viitoarea coroană să încercuiască minim 1,5 - 2mm din țesutul dentar sănătos pentru a rezista forțelor masticatorii.
Estetică corespunzătoare prin poziționarea dinților la același nivel și nivelarea coletelor dentare (marginilor gingivale).
Dintele este tracționat în ax în interiorul grosimii osoase prin mișcări lente.
Recalibrarea spațiilor
Asigurarea spațiului necesar inserției implantului dentar și/sau lucrării protetice (în urma extracțiilor vechi dinții vecini migrează și dimensiunea spațiului se reduce).
Se realizeaza prin redresarea dentară în axul și poziția fiziologică.
Distalizarea/Mezializarea dentară
Închiderea spațiilor rezultate în urma extracțiilor și crearea spațiului necesar alinierii dinților înghesuiți;
Dinții sunt deplasați, pe rând, mezial și distal (în spate și în față) pentru închiderea spațiilor existente sau pentru deschiderea unor spații necesare;

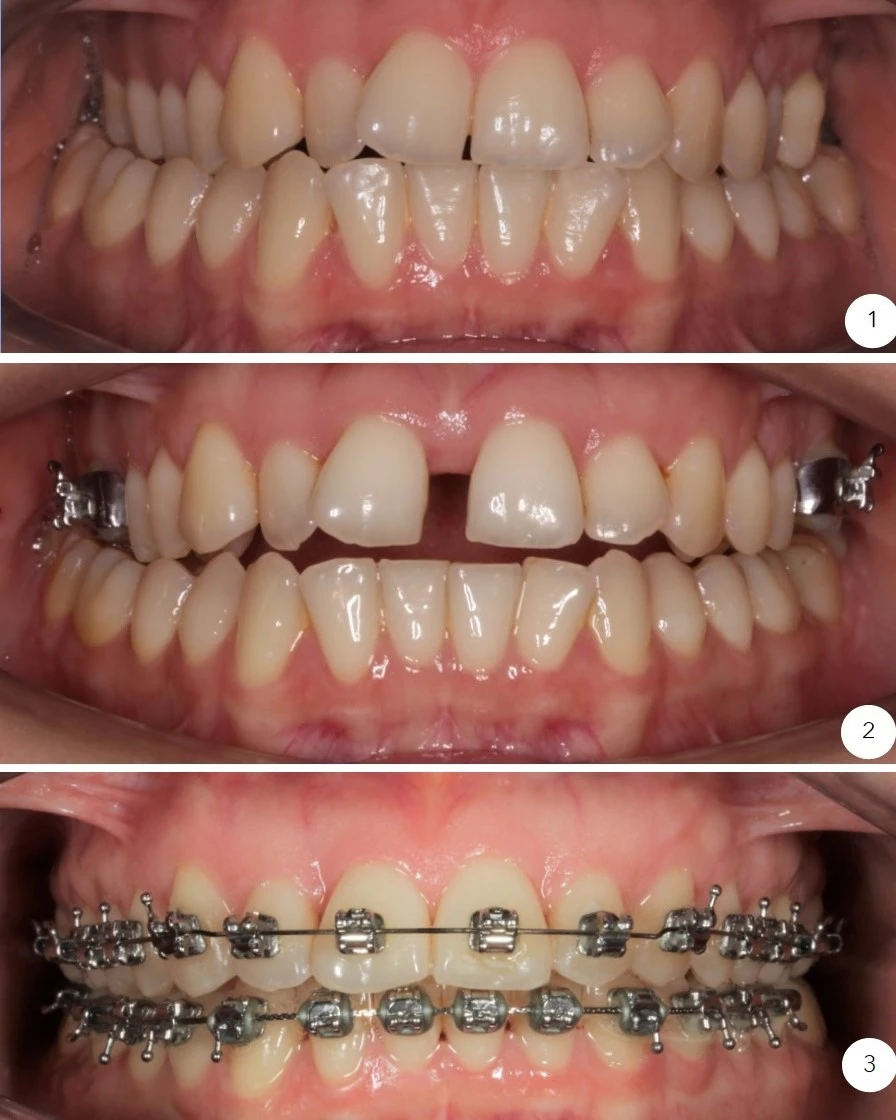
Distalizarea grupului dentar posterior cu ancorarea caninilor pe mini-implanturi ortodontice:
1 Situația inițială cu premolarul superior erupt în interiorul arcadei dentare din cauza lipsei spațiului;
2 Imagine clinică din cursul etapei de distalizare a grupului dentar posterior; Se observă apariția spațiului necesar alinierii premolarului în arcadă;
3 Distalizarea grupului dentar anterior;
4 Imagine clinică la finalul etapei de distalizare și alinierea dinților pe arcadă.
Chirurgia ortognată asociată tratamentului ortodontic
Se folosește în cazuri cu diferențe mari între diametrul orizontal al maxilarului și al mandibulei care nu pot fi compensate doar prin tratament ortodontic sau tratament ortodontic și protetic.
Rezolvarea esteticii faciale a părții inferioare a feței atunci când ortodonția singură, nu ar putea să aducă toate îmbunătățirile necesare.
Este necesara aducerea dinților pe pozițiile normale în grosimea osului, urmată de repoziționarea chirurgicală a oaselor având ca scop obținerea unei mușcături funcționale.
Contentia post-ortodontica
La finalul tratamentului ortodontic dinții mai au încă o ușoară mobilitate fiind necesară stabilizarea lor în poziția obținută cu aparatul dentar. Se utilizează pentru a reduce riscul revenirii dinților în poziția inițială.
Ce se întâmplă în timpul perioadei de contenție.
Dinții sunt menținuți în poziția finală pentru o perioadă de timp specifică fiecărui caz.
În funcție de fiecare caz, medicul ortodont va decide metoda ideală de realizare a acesteia, fie prin conteție fixa, fie prin contenție mobilă.

Nu aștepta să se alinieze planetele pentru alinierea dinților.
Programează o consultație cu medicul ortodont!
SĂNĂTATEA TA, DECIZIILE TALE!
Îți arătăm ce observăm, îți spunem ce opțiuni ai și te vom lăsa să iei cele mai bune decizii pentru tine.
Nu îți vom propune tratamente care nu sunt necesare și întotdeauna îți vom oferi opțiuni.
